Body Composition
Understand weight loss, fat distribution and muscle composition in your clinical trials
Body composition analysis offers insights into the quality of weight loss and patient health. These powerful tools support decision-making in drug development across a broad spectrum of clinical trials (i.e. obesity, neuromuscular disorders, cancer cachexia).

It is time to look beyond weight…
They all matter!
Relevant to support clinical trials in:
Beyond BMI – Body Composition imaging is the new global standard in weight loss clinical trials
We provide neck-to-knee MRI body composition metrics including visceral (VAT) and subcutaneous adipose tissue (SAT), lean tissue volume, skeletal muscle volume and index, muscle fat infiltration (MFI), and suspected brown adipose tissue (sBAT).


Muscle volume and muscle fat infiltration – critical indicators of quality weight loss and overall health
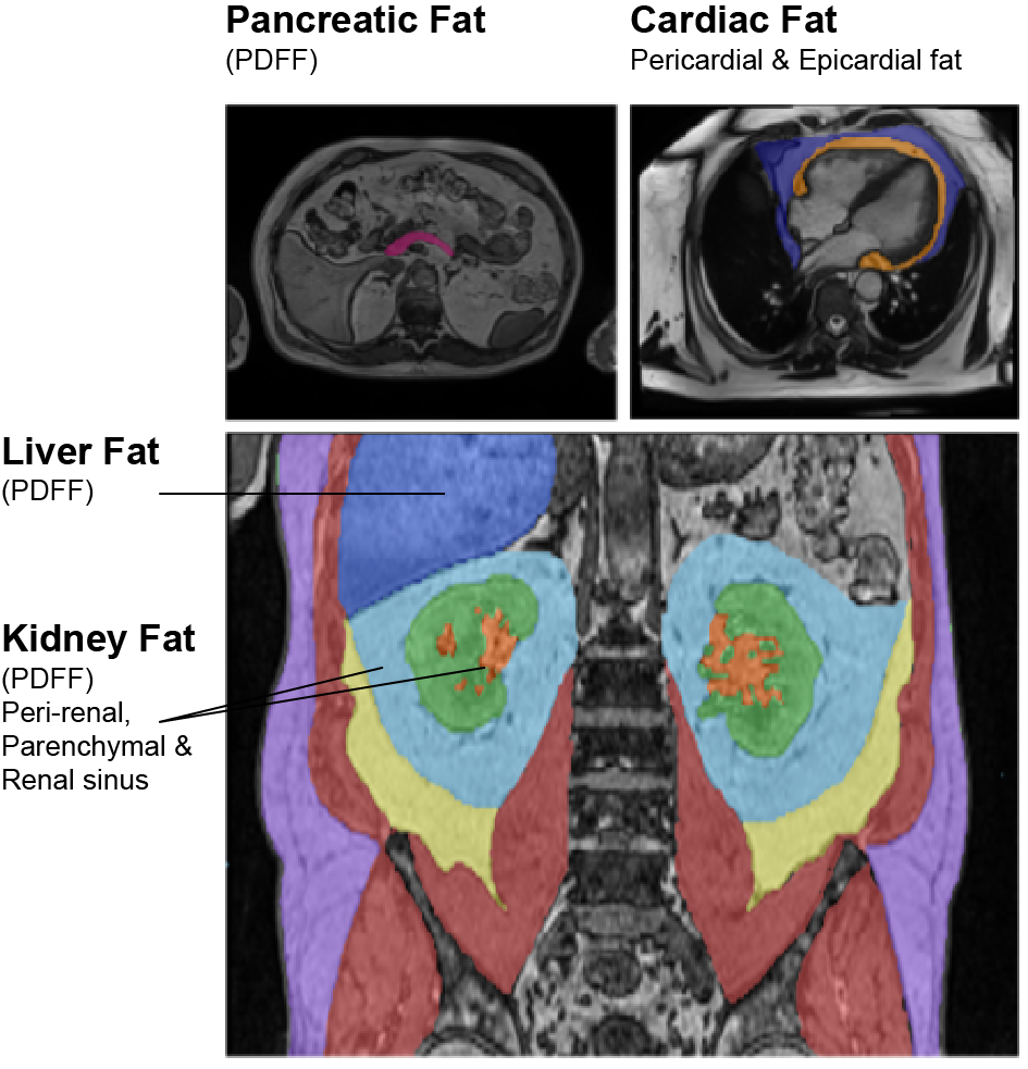
Ectopic fat – impairs organ health and is one of major factors in cardiometabolic disease development

End-to-end imaging services
Our body composition analysis and organ health image offers insights into weight loss and patient health. These powerful tools support decision-making and trial design in drug development across a broader spectrum of clinical trials.
Our offering includes MRI body composition, MRI multi-organ ectopic fat and full-body DEXA assessment, which are fully customisable to your trial needs.
MRI body composition
Multi-organ ectopic fat
DXA / DEXA
Our expertise – your success in clinical trials
Global presence
Our technology is present in 900+ sites worldwide
Regulatory and data privacy compliant
Seamless data integration and security
Rapid turnaround
In-house central platform
180+ Publications
Scientific Publications
Original research publications:
- Greater ectopic fat deposition and liver fibroinflammation and lower skeletal muscle mass in people with type 2diabetes – Obesity - Waddell et al
- Single-sliceMRI for body composition assessment: repeatability, reproducibility, and observer variability – DiscoverImaging - Nowak et al
- Poor glycaemic control and ectopic fat deposition mediates the increased risk of non-alcoholic steatohepatitis in high-risk populations in type 2 diabetes: Insights from Bayesian-network modelling – Front. Endocrinol. - Waddell et al
- Bayesiannetworks and imaging-derived phenotypes highlight the role of fat deposition inCOVID-19 hospitalization risk – Front Bioinform - Waddell et al
Posters:
- Fast and robust assessment of abdominal obesity in individuals with a range of cardiometabolic and liver tissue characteristics. (2024) [poster] AmericanDiabetes Association - Nowak et al
- Quantitative multi-organ imaging stratifies individuals with obesity and diabetic retinopathy. (2024) [poster] American Diabetes Association – Diamond et al
